前歯のすきっ歯が気になる方に🦷✨|めぐみデンタルクリニック|三宮の歯医者・ホワイトニング

〒650-0011 兵庫県神戸市中央区下山手通2丁目4-10 新道三光ビル3F

トピックス Topics

  1. HOME
  2. >
  3. トピックス
  4. >
  5. 未分類
  6. >
  7. 前歯のすきっ歯が気になる方に🦷✨

前歯のすきっ歯が気になる方に🦷✨

前歯のすきっ歯が気になる方は、見た目の印象だけでなく、発音や咬み合わせにも影響することがあります。
そんなお悩みにおすすめなのが ダイレクトボンディング です🦷⭐

ダイレクトボンディングとは、歯科用の樹脂(レジン)を直接歯に盛り付け、形を整えて固める治療法です。短時間で歯を削る量を最小限に抑えつつ、自然な仕上がり を実現できるのが大きな特徴です。

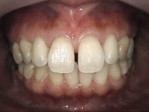
 before

↓  ↓  ↓

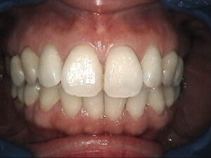
 after

こんな方におすすめ
前歯のすきっ歯を自然に治したい
結婚式就職活動など、短期間で見た目を整えたい・歯をできるだけ削りたくない
当院では患者様一人ひとりの歯の形や色に合わせて丁寧に仕上げています。

笑顔に自信を持ちたい方、ぜひ一度ご相談ください。